首页
产品
服务
新闻
交流
关于我们
En
中
En
中
首页
产品
服务
新闻
交流
关于我们
首页
产品
CT
CT
DR
移动CT
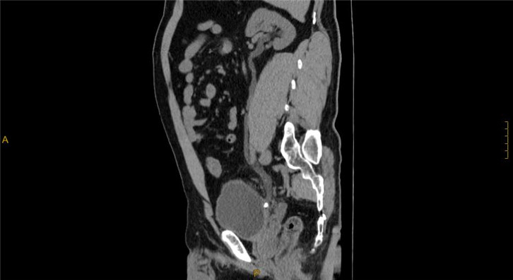
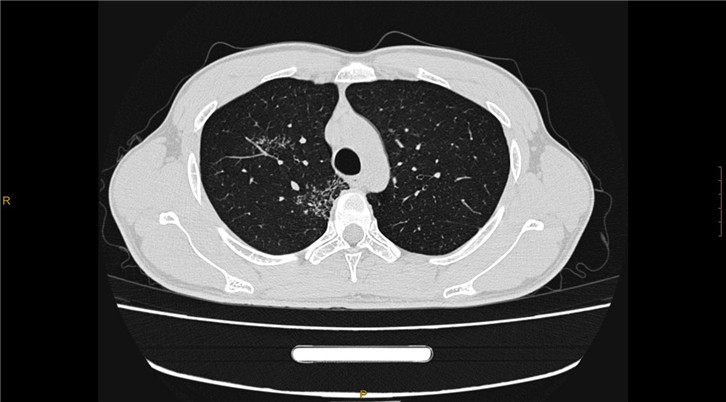
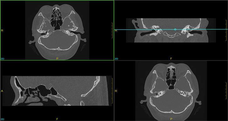
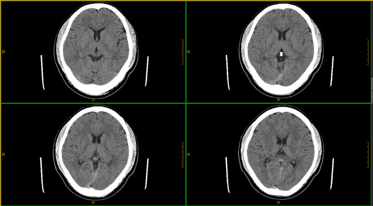
Precision 32精密断层能谱CT
全球发明专利精密断层扫描专利技术P-Axial;
业内超薄层0.275mm扫描,精密CT图像能将人体内的精细结构如内耳、肺小结节等清晰显示;
全面32层能谱平台,使各级医院能享受到超高端CT才具有的高级功能,能谱在做结石成分分析和痛风检查、肿瘤检查方面有丰富的临床价值;
精确低剂量关爱,业界超低60kV扫描;
百万像素高清算法;
P-IR高级双域迭代重建。
临床展示
肋骨三维重建
Copyright © 2021-2022 开影医疗 服务热线:+86 400 000 1647
技术支持:青葱科技
鲁ICP备2021033667号-1